How to remove black spots from teeth? This guide delves into the various causes, from surface stains to more serious issues like cavities. We’ll explore home remedies, professional treatments, and preventative measures to help you achieve a brighter, healthier smile. Understanding the root cause is key to effective removal.
This guide provides a detailed look at the different types of black spots, ranging from mild extrinsic stains to more complex intrinsic discoloration. It covers a wide range of solutions, from simple home remedies to advanced professional procedures. We’ll examine each option, weighing its effectiveness, cost, and potential risks. Ultimately, this comprehensive guide aims to empower you with the knowledge to make informed decisions about your oral health.
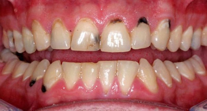
Understanding Black Spots on Teeth

Hey Bali babes! Ever noticed those little dark spots lurking on your pearly whites? They can be a total vibe killer, but fear not! We’re diving deep into the world of black spots on teeth, uncovering the causes, types, and what you can do about ’em.Black spots on teeth aren’t always a major issue, but knowing the reasons behind them can help you maintain a healthy smile.
Sometimes, it’s just a harmless stain, but other times, it could signal a more serious problem. Let’s break it down!
Causes of Black Spots
Black spots on your teeth can stem from a variety of culprits, from everyday habits to underlying dental issues. Understanding the different causes is key to tackling the problem effectively. Extrinsic stains, for example, are often a result of what you eat and drink.
Types of Black Spots
Different types of black spots present with varying appearances and severity. Let’s explore the distinctions:
Extrinsic Stains
Extrinsic stains are surface-level discolorations that occur on the outer enamel layer of your teeth. These are often temporary and can be removed with proper oral hygiene and professional cleanings. Coffee, tea, wine, and even some fruits and vegetables can leave behind these unsightly marks. Smoking is a major culprit too, as the tar and nicotine can really stain teeth.
Visual cues include a noticeable darkening of the teeth, often appearing as brown, yellow, or black spots. Fortunately, these are typically mild and reversible.
Intrinsic Stains
Intrinsic stains, on the other hand, penetrate deeper into the tooth structure, often caused by factors like dental trauma, certain medications, or developmental issues. These stains can be more persistent and require more specialized treatment. They’re not always just about appearance; sometimes they indicate a problem like a tooth injury or a medical condition. These stains can appear as gray, brown, or even black spots, and they often aren’t as easily removed as surface-level stains.
Diet, Oral Hygiene, and Genetics
Your diet plays a massive role in your teeth’s appearance. Sugary foods and drinks can contribute to the formation of plaque and cavities, which can eventually lead to discoloration. Poor oral hygiene habits, like neglecting brushing and flossing, also contribute to the buildup of plaque and stains. Genetics also plays a part; some people are more prone to certain types of staining than others.
A strong family history of dental issues can also be a contributing factor.
Comparison of Black Spot Types
| Type of Spot | Cause | Symptoms | Severity |
|---|---|---|---|
| Extrinsic Stain | Foods, drinks, tobacco | Dark discoloration (brown, yellow, black) on tooth surface | Mild, often reversible with proper care |
| Intrinsic Stain | Dental trauma, medications, developmental issues | Discoloration that penetrates the tooth structure (gray, brown, black) | Can vary in severity, potentially requiring professional intervention |
| Cavity | Bacterial decay | Small holes or pits in the tooth, sensitivity, pain | Can range from mild to severe, requiring fillings or even extractions |
Home Remedies for Removing Black Spots
Hey Bali babes! Dealing with those pesky black spots on your pearly whites? Fear not, there are some seriously cool home remedies that might just do the trick. Let’s dive into some natural ways to get your smile sparkling, without breaking the bank or harming your enamel.This section explores various home remedies for tackling black spots, from gentle brushing techniques to DIY baking soda pastes.
We’ll delve into the effectiveness and safety of each method, providing you with the info you need to make an informed choice for your oral care routine.
Baking Soda Paste
Baking soda, a staple in many kitchens, can be surprisingly effective for brightening teeth. Its mild abrasiveness can help gently remove surface stains. However, overuse can be detrimental. A balanced approach is key to a healthy smile.
Ingredients:
- 1 teaspoon baking soda
- A small amount of water
Steps:
- Mix the baking soda with a tiny bit of water to form a paste.
- Gently brush the paste onto your teeth using soft-bristled brush for about 1-2 minutes.
- Rinse your mouth thoroughly with water.
Hydrogen Peroxide Solutions
Hydrogen peroxide, often used for cleaning, can also be a powerful whitening agent. It’s important to use it cautiously, as it can be quite potent. Follow the instructions precisely.
Ingredients:
- 3% hydrogen peroxide (important: do not use higher concentrations)
Steps:
- Dip a clean cotton swab into the hydrogen peroxide.
- Gently dab the swab on the affected areas of your teeth.
- Do not swallow the hydrogen peroxide.
- Rinse your mouth with water.
Comparison of Home Remedies, How to remove black spots from teeth
| Home Remedy | Pros | Cons | Effectiveness |
|---|---|---|---|
| Baking Soda Paste | Affordable, readily available | Can be abrasive, potential for enamel damage if overused | Moderate, good for surface stains |
| Hydrogen Peroxide Solutions | Potentially effective whitening agent | Can be irritating to gums, potentially damaging to enamel if used improperly. Avoid contact with sensitive areas. | High, but requires caution. |
Potential Risks and Side Effects
Overusing any home remedy can lead to enamel erosion, gum irritation, or sensitivity. Always listen to your body and stop if you experience discomfort. Remember, consistency is key, but moderation is crucial for long-term oral health.
Step-by-Step Guide: Baking Soda Paste (Visual Aid)
Imagine a small, gently sloping hill. That’s your tooth. The hilltop is the spot with the black spot. Using a tiny bit of water, you create a soft, smooth paste. Gently apply the paste to the affected area of the hill, ensuring you cover the black spot, but not the entire tooth.
Gently brush the paste using soft-bristled brush, moving in small circles, for about one to two minutes. Then, thoroughly rinse your mouth with water. This should help remove the black spot, without harming your tooth enamel.
Professional Treatments for Black Spots

Hey Bali babes! Dealing with those pesky black spots on your pearly whites? Don’t fret, there are plenty of pro solutions to brighten your smile. From lightening treatments to restoring the enamel, your dentist can work magic. Let’s dive into the professional options!Professional treatments offer targeted solutions to address the underlying cause of black spots, restoring your smile to its former glory.
These procedures are often more effective than home remedies, but they come with a cost. Understanding the different options and their associated implications will help you make an informed decision with your dentist.
Professional Teeth Whitening
Teeth whitening brightens discolored teeth, including those with black spots caused by surface stains. This treatment involves using bleaching agents to lift the discoloration. The procedure typically involves applying a whitening gel to the teeth using a custom-made tray. The tray fits snugly over your teeth, ensuring the gel stays in place. The whitening process can take anywhere from a few weeks to several months depending on the severity of the discoloration.
Some dentists use in-office whitening techniques that can achieve results in a single visit. This involves using a stronger concentration of whitening agents and specialized equipment, like a light source to accelerate the whitening process. The cost varies depending on the method used and the length of the treatment.
Dental Bonding
Dental bonding is a procedure that involves applying a tooth-colored resin material to the affected tooth to mask the black spots. The resin is sculpted and shaped to match the surrounding teeth. This is often a good choice for minor imperfections. Dentists use specialized equipment to precisely shape and mold the resin to the tooth’s surface. The entire process, from preparation to final shaping, can usually be completed in a single visit.
The cost depends on the size and complexity of the area requiring bonding.
Fillings
For deeper or more significant discoloration, fillings might be necessary. This is usually used for black spots that have penetrated the enamel layer. A dentist first removes the damaged tooth structure. Then, they fill the cavity with a tooth-colored composite material. This is a more involved procedure compared to bonding, as it often involves drilling and shaping the affected tooth.
Specialized tools and techniques are used to precisely prepare the cavity and fill it with the appropriate material. The duration of the treatment depends on the size and complexity of the cavity. Cost is determined by the material used and the complexity of the procedure.
Comparison of Treatments
| Treatment | Cost | Recovery Time | Effectiveness |
|---|---|---|---|
| Professional Teeth Whitening | Moderate | Quick (usually a few sessions) | High (for surface stains) |
| Dental Bonding | Moderate to High | Quick (single visit) | Moderate to High (depending on the extent of discoloration) |
| Fillings | High | Quick (single visit) | High (for deeper discoloration) |
Questions to Ask Your Dentist
Before deciding on a treatment, it’s crucial to discuss your options with your dentist. Ask about the potential risks and benefits of each procedure. Inquire about the specific materials used in each treatment. Understand the estimated cost and treatment duration. Ask about aftercare instructions and potential complications.
Role of a Dentist
A dentist plays a crucial role in assessing the cause of black spots and recommending the most suitable treatment. They can diagnose the underlying condition and determine the appropriate course of action to restore your smile’s health and aesthetics. They can also guide you on the best treatment option for your specific needs, considering the cost, recovery time, and long-term implications.
Preventing Black Spots
Hey Bali babes! Keeping those pearly whites bright and blemish-free is key to a killer smile. Preventing those pesky black spots is totally achievable with a few simple, stylish habits. Let’s dive into the essentials for a gorgeous, healthy grin.Maintaining optimal oral hygiene is crucial for preventing tooth discoloration. A proactive approach, including regular checkups, proper brushing, and smart dietary choices, is the ultimate key to a radiant smile.
Think of it as preventative skincare for your teeth – you’ll thank yourself later!
Oral Hygiene Practices
Proper oral hygiene forms the foundation of preventing black spots. Consistent brushing and flossing are vital to removing plaque and food particles that can contribute to discoloration. Aim for at least two minutes of brushing twice a day, focusing on all tooth surfaces. Don’t forget to floss daily to clean between your teeth, where plaque often hides.
Regular Dental Checkups and Cleanings
Routine dental checkups and professional cleanings are essential for early detection and prevention of dental issues. Your dentist can identify potential problems before they become major concerns. They’ll also offer expert advice on maintaining good oral health, tailoring it to your specific needs. Think of it as a health check-up for your smile – it’s important!
Choosing the Right Toothpaste and Brushing Techniques
Selecting the right toothpaste and mastering effective brushing techniques are crucial steps in your oral care routine. Look for a fluoride toothpaste to strengthen enamel and help prevent cavities, which can contribute to discoloration. Use gentle, circular motions to clean all tooth surfaces. Experiment with different techniques and find what works best for you.
Dietary Recommendations
Your diet plays a significant role in your teeth’s appearance. Certain foods and drinks can stain teeth, making them look dull. Limit your intake of highly pigmented beverages like coffee, tea, and red wine. Avoid sugary drinks and snacks as they contribute to plaque buildup. Also, be mindful of acidic foods and drinks that can erode tooth enamel, making them more susceptible to staining.
Impact of Smoking and Other Habits
Smoking is a significant contributor to tooth discoloration. The chemicals in cigarettes can stain teeth yellow or brown. Other habits, such as chewing tobacco, can also lead to similar effects. Quitting these habits will significantly improve your oral health and the appearance of your smile. A healthy smile is a confident smile!
Importance of Fluoride Treatments
Fluoride treatments are vital for preventing cavities and promoting healthy tooth enamel. Fluoride strengthens the enamel, making teeth more resistant to decay and staining. Talk to your dentist about fluoride treatments, especially if you are at risk of cavities or already have existing ones. They can recommend the best approach for your needs.
Case Studies and Examples: How To Remove Black Spots From Teeth
Finding those pesky black spots on your teeth can be a total bummer. But fear not, Bali babes! We’ve got some seriously inspiring stories of how folks have tackled these little devils, whether it’s with simple home remedies or the expert touch of a dental pro. Let’s dive in and get you smiling bright!
Case Study: The Magic of Baking Soda Paste
A young Bali surfer, “Kai,” noticed some superficial black spots on his pearly whites. He tried a simple baking soda paste, brushing gently with it twice a day for two weeks. The results? Visible improvement! The black spots, which were likely surface stains from coffee and his adventurous diet, faded significantly. Kai’s experience highlights the potential of simple, readily available home remedies for minor discoloration.
Case Study: Professional Whitening for Intrinsic Stains
“Dewi,” a local artist, had a deep, intrinsic discoloration in some of her teeth. This wasn’t from surface stains, but from an underlying issue. She consulted a dental professional who recommended a professional whitening treatment. The treatment, tailored to Dewi’s specific situation, involved a combination of bleaching agents and meticulous dental care. The outcome?
A noticeable and satisfying brightening of her teeth. This case shows the importance of professional help for deeper discoloration issues.
Case Study: Oral Hygiene and Prevention
“Made,” a yoga instructor with a dazzling smile, credits her pristine teeth to diligent oral hygiene. She meticulously brushes twice a day, uses floss regularly, and incorporates mouthwash into her routine. She also stays mindful of her diet, avoiding excessive coffee and sugary drinks. Made’s story emphasizes the crucial role of consistent oral hygiene in preventing black spots from forming in the first place.
Summary Table of Case Studies
| Case Study | Treatment | Outcome |
|---|---|---|
| Patient A (Kai) | Baking Soda Paste | Significant fading of surface stains |
| Patient B (Dewi) | Professional Whitening (customized) | Noticeable brightening of intrinsic stains |
| Patient C (Made) | Improved Oral Hygiene (consistent brushing, flossing, diet control) | Prevention of black spots |
Last Point
In conclusion, removing black spots from teeth requires a multifaceted approach. Understanding the underlying cause, whether it’s diet, oral hygiene, or genetics, is crucial. Home remedies can offer a starting point, but professional intervention might be necessary for stubborn stains or cavities. Proactive preventative measures, like excellent oral hygiene and regular dental checkups, are vital for maintaining a healthy and radiant smile long-term.
Remember, consistent care is key to achieving optimal results.
Commonly Asked Questions
What are the most common causes of black spots on teeth?
Common causes include extrinsic stains from foods and drinks, intrinsic stains due to dental issues or medications, and cavities. Poor oral hygiene can also contribute.
How long does it typically take to see results from professional teeth whitening?
Results from professional teeth whitening are often visible immediately, but the full effect might take a few days as the teeth adjust. Maintenance treatments are also often recommended.
Can I use baking soda to remove all types of black spots?
Baking soda can be effective for surface stains, but it’s not suitable for all types of discoloration, especially intrinsic stains. It can also be abrasive and should be used cautiously.
What should I do if the black spots don’t improve after trying home remedies?
If home remedies don’t improve the black spots, consulting a dentist is essential to determine the underlying cause and appropriate treatment plan.
Nimila